Kosmetyczne Wybielanie Zębów nie jest zabiegiem stomatologicznym !
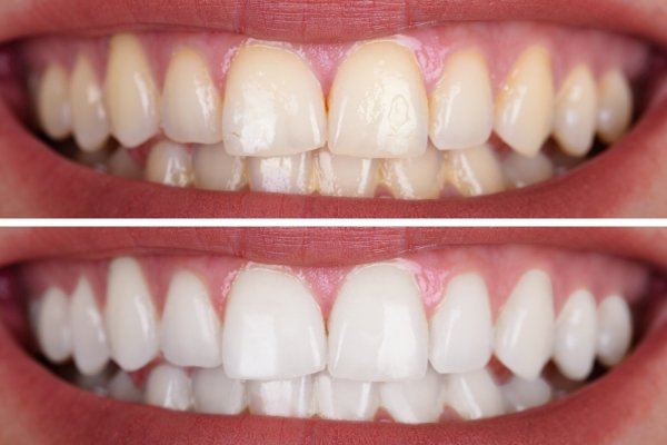
Zabieg pozwala na usunięcie osadu oraz przebarwień powstałych na skutek niewłaściwej pielęgnacji, palenia papierosów oraz spożywania produktów o intensywnym zabarwieniu; herbata, wino, soki. Kosmetyczne wybielanie zębów pozwala na osiągnięcie efektów w krótkim czasie. Podczas jednego zabiegu, następuje rozjaśnienie powierzchni zębów o 5-8 tonów w skali Vita. Efekt wybielenia utrzymuje się od 6 do 12 miesięcy, w zależności od stosowanej diety oraz przestrzegania zasad higieny jamy ustnej.
Czas trwania oraz przebieg zabiegu
Zabieg polega na nałożeniu na powierzchnię zębów specjalnego preparatu wybielającego, który następnie naświetlany jest podczas trzech 15 minutowych sesji - lampą LED, emitującą zimne, niebieskie światło. Proces ten aktywuje zawarte w nim związki, dzięki którym zachodzi reakcja fotochemiczna, w wyniku której utleniane są przebarwienia na powierzchni zębów. Zabieg nie narusza szkliwa, struktury zębów oraz nie podrażnia dziąseł.
Czy zabieg jest bolesny?
Nie. Zabieg Kosmetycznego Wybielania zębów jest całkowicie bezbolesny. Amerykański system stosowany w naszym gabinecie jest zgodny z obecnie obowiązującymi przepisami także w Polsce jak i w całej Unii Europejskiej.
Zabieg podstawowy
250 PLN
czas zabiegu: 1 h
Zabieg podstawowy + preparat wydłużający i podtrzymujący efekt wybielania
280 PLN
Zabieg podstawowy + drugi zabieg w ciągu max. 7-8 tygodni + preparat wydłużający i podtrzymujący efekt wybielania gratis
470 PLN









